- Lincoln Lab unveils the most powerful AI supercomputer at any US universityOptimized for generative AI, TX-GAIN is driving innovation in biodefense, materials discovery, cybersecurity, and other areas of research and development.
- A simple formula could guide the design of faster-charging, longer-lasting batteriesMIT researchers developed a model that explains lithium intercalation rates in lithium-ion batteries.
- Lincoln Lab unveils the most powerful AI supercomputer at any US universityOptimized for generative AI, TX-GAIN is driving innovation in biodefense, materials discovery, cybersecurity, and other areas of research and development.
- A simple formula could guide the design of faster-charging, longer-lasting batteriesMIT researchers developed a model that explains lithium intercalation rates in lithium-ion batteries.
- Accounting for uncertainty to help engineers design complex systemsThe approach could enable autonomous vehicles, commercial aircraft, or transportation networks that are more reliable in the face of real-world unpredictability.
- MIT OpenCourseWare is “a living testament to the nobility of open, unbounded learning”For physicist Mostafa Fawzy, MIT Open Learning’s OpenCourseWare was a steadfast companion through countless study sessions.
- Palladium filters could enable cheaper, more efficient generation of hydrogen fuelThe novel design allows the membranes to withstand high temperatures when separating hydrogen from gas mixtures.
- A cysteine-rich diet may promote regeneration of the intestinal lining, study suggestsThe findings may offer a new way to help heal tissue damage from radiation or chemotherapy treatment.
- System lets people personalize online social spaces while staying connected with othersBy enabling users to easily create social apps that serve communities’ needs, the Graffiti framework aims to promote healthier online interactions.
- MIT cognitive scientists reveal why some sentences stand out from othersSentences that are highly dissimilar from anything we’ve seen before are more likely to be remembered accurately.
- 3 Questions: Addressing the world’s most pressing challengesMihaela Papa discusses the BRICS Lab, her role at the Center for International Studies, and the center's ongoing ambition to tackle the world's most complex challenges in new and creative ways.
- Saab 340 becomes permanent flight-test asset at Lincoln LaboratoryThe aircraft supports development and testing of diverse technologies for national security.
- 3 Questions: How a new mission to Uranus could be just around the cornerPhD student Chloe Gentgen discusses why the ice giant is such a high-priority solar system target, and how the Starship launch vehicle may hasten our explorations there.
- MIT joins in constructing the Giant Magellan TelescopeThe major public-private partnership is expected to strengthen MIT research and US leadership in astronomy and engineering.
- Responding to the climate impact of generative AIExplosive growth of AI data centers is expected to increase greenhouse gas emissions. Researchers are now seeking solutions to reduce these environmental harms.
- A beacon of lightA lantern created in the Design Intelligence Lab creates sustainable alternatives for consumer electronics.
- The first animals on Earth may have been sea sponges, study suggestsMIT researchers traced chemical fossils in ancient rocks to the ancestors of modern-day demosponges.
- How the brain splits up vision without you even noticingAs an object moves across your field of view, the brain seamlessly hands off visual processing from one hemisphere to the other like cell phone towers or relay racers do, a new MIT study shows.
- An adaptable evaluation of justice and interest groupsBruno Perreau’s latest book, “Spheres of Injustice,” updates classic thought about rights and legal standing in a complex society.
- How federal research support has helped create life-changing medicinesA new study finds over half the drugs approved this century cite government-funded research in their patents.
- AI system learns from many types of scientific information and runs experiments to discover new materialsThe new “CRESt” platform could help find solutions to real-world energy problems that have plagued the materials science and engineering community for decades.
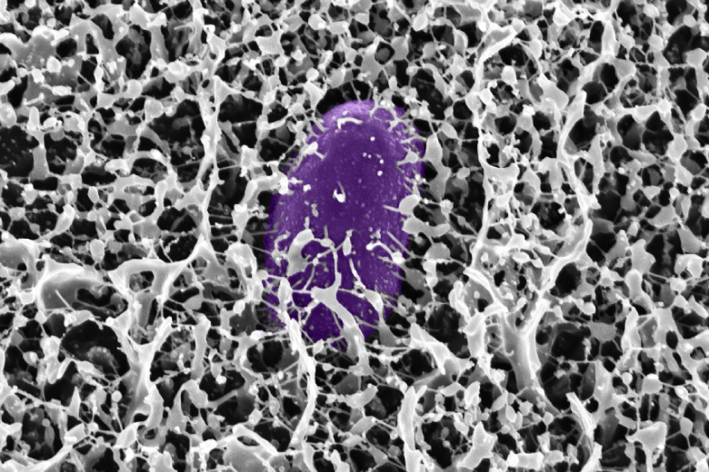
- Study shows mucus contains molecules that block Salmonella infectionMIT researchers now hope to develop synthetic versions of these molecules, which could be used to treat or prevent foodborne illnesses.
Load more...
Loading...